Sanidad avícola | Análisis técnico
Resumen ejecutivo
El Adenovirus Aviar serotipo 11 (FAdV-11), especie D, se ha consolidado como uno de los agentes emergentes más relevantes en la sanidad avícola global, asociado a la hepatitis por cuerpos de inclusión (HCI/IBH) en pollos de engorde.
En Latinoamérica, los brotes han aumentado en frecuencia entre 2024 y 2026, con impactos productivos significativos y una característica epidemiológica crítica: la transmisión vertical desde reproductoras hacia la progenie.
Aunque no existe una emergencia sanitaria oficial continental, la enfermedad representa un desafío creciente para la rentabilidad del sector avícola.
Situación en Latinoamérica (2024–2026)
Evidencia científica reciente
En los últimos años, se han notificado con una frecuencia creciente en todo el mundo brotes de hepatitis por cuerpos de inclusión (HCI). En el trabajo de investigación: “Brotes de hepatitis de cuerpos de inclusión (IBH) tras la transmisión vertical del adenovirus aviar serotipo 11 (FAdV-11), especie D: una cepa con persistencia regional y presencia global”; realizado por la Universidad de Austria, se describe un repunte de casos naturales de HCI en quince lotes de pollos de engorde de la estirpe Ross 308.
El cuadro clínico se caracterizó por la aparición repentina de un aumento de la mortalidad en aves de 3 a 15 días de edad, la cual persistió durante aproximadamente una semana, resultando en una mortalidad acumulada por lote que osciló entre el 2 % y el 27 %. Los principales hallazgos patológicos fueron hepatitis con focos necróticos difusos y hemorragias petequiales, observándose cuerpos de inclusión intranucleares en el estudio histológico. Se detectó FAdV en muestras hepáticas de todos los lotes afectados. Basándose en el análisis de la secuencia parcial del hexón, se identificó el serotipo 11 del FAdV, especie D (FAdV-11, FAdV-D), el cual mostró una identidad de secuencia completa entre las cepas aisladas de los pollos de engorde, así como una alta identidad con aislamientos previos de Austria y con aislamientos asociados a la HCI a nivel mundial. Además, se detectó ADN de FAdV-11 en embriones muertos dentro del huevo, recolectados durante el brote en curso y procedentes de un lote sospechoso de reproductoras de engorde, lo que confirmó la transmisión vertical. Las investigaciones serológicas realizadas en las reproductoras sospechosas confirmaron las infecciones por FAdV-11 dentro del periodo de estudio.
En conclusión, las investigaciones confirmaron la transmisión vertical del FAdV-11 y la consiguiente manifestación de HCI en pollos de engorde en condiciones de campo, lo que subraya la importancia epidemiológica de las reproductoras de engorde en los brotes de HCI. El reporte completo en el siguiente enlace: https://www.mdpi.com/2674-1164/5/2/25
Transmisión: el factor crítico
La transmisión vertical es el principal mecanismo de propagación en los brotes más severos. Ocurre cuando las reproductoras infectadas eliminan el virus al huevo, generando infección en el pollito desde el nacimiento.
En brotes confirmados en Brasil, la mortalidad comenzó a los 3 días de edad, lo que refuerza el patrón clásico de infección in ovo y descarta que la diseminación inicial haya sido únicamente horizontal.
Los brotes tempranos, con curvas de mortalidad casi idénticas en granjas distantes abastecidas desde una misma incubadora, son una de las señales epidemiológicas más contundentes de transmisión vertical.
Signos clínicos y comportamiento del brote
- mortalidad súbita con pico entre 3 y 15 días de edad;
- apatía y plumas erizadas;
- retraso en el crecimiento;
- desuniformidad marcada del lote;
- curvas agudas de mortalidad que pueden superar el 11% en fases tempranas.
En condiciones de campo, la combinación de mortalidad temprana, lesiones hepáticas típicas y ausencia de vacunación en reproductoras o progenie aumenta fuertemente la sospecha clínica de FAdV-11.
Lesiones macroscópicas clave
Figura 1. Lesión hepática macroscópica compatible con hepatitis por cuerpos de inclusión.
- Hepatomegalia: hígado agrandado y de bordes redondeados.
- Cambio de coloración: tonalidad pálida, amarillenta o bronceada.
- Hígado moteado o atigrado: combinación de palidez con petequias y hemorragias.
- Friabilidad: tejido frágil que se desintegra fácilmente al tacto.
- Hemorragias: petequias y equimosis bajo la cápsula hepática.
El hígado es el órgano diana principal y concentra los hallazgos más evidentes durante la necropsia en campo.
También pueden observarse alteraciones en riñones, bolsa de Fabricio, médula ósea e hidropericardio, dependiendo del cuadro y de la posible coexistencia con otros agentes inmunosupresores.
Aun así, el diagnóstico no debe basarse únicamente en lesiones macroscópicas, ya que puede confundirse con micotoxicosis, anemia infecciosa u otros cuadros hepáticos.
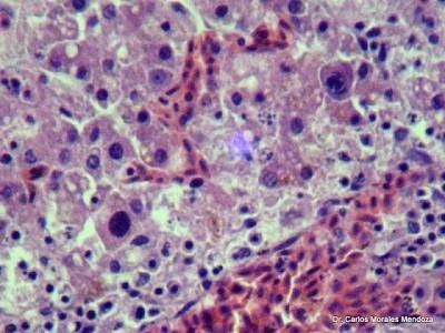
Hallazgos histopatológicos
A nivel microscópico, las lesiones típicas incluyen degeneración de hepatocitos, necrosis multifocal e infiltración de células inflamatorias asociadas a la replicación viral.
El hallazgo más característico son los cuerpos de inclusión intranucleares, considerados el sello distintivo de la enfermedad.
Diagnóstico
Figura 2. Histopatología compatible con hepatitis por cuerpos de inclusión y presencia de cuerpos de inclusión intranucleares.
- necropsia con lesiones hepáticas compatibles;
- histopatología para confirmar inclusiones intranucleares;
- PCR específica del gen hexón;
- secuenciación para tipificación definitiva del serotipo 11/D.
El análisis filogenético de la región L1 del hexón ha mostrado que varias cepas latinoamericanas presentan alta identidad con aislamientos globales, incluidos reportes de Austria y China.
En algunos brotes brasileños se ha descrito incluso epicarditis linfoplasmocítica, una lesión no tradicionalmente asociada con la IBH clásica.
Diagnóstico diferencial
Control y prevención
No existe tratamiento antiviral específico; el enfoque es preventivo y de soporte, reservando antibióticos únicamente para infecciones bacterianas secundarias.
Ante brotes activos, se recomienda realizar tipificación exacta y considerar la elaboración de vacunas autógenas en coordinación con laboratorios y autoridades sanitarias.
Conclusión
El FAdV-11 representa un desafío sanitario emergente en Latinoamérica, impulsado por la intensificación productiva, la circulación de cepas virulentas y la transmisión vertical.
La clave para su control radica en el manejo sanitario de reproductoras, el fortalecimiento de la bioseguridad y la vigilancia epidemiológica continua.
La tendencia actual sugiere que su impacto seguirá creciendo en la región, lo que obliga a productores y veterinarios a reforzar diagnóstico, prevención y respuesta temprana.
Puntos clave
Agente principal
Adenovirus aviar FAdV-11, especie D
Ruta crítica
Transmisión vertical desde reproductoras hacia el pollito
Órgano diana
Hígado, con hepatomegalia, palidez y hemorragias
Control efectivo
Vacunación de reproductoras, bioseguridad y diagnóstico molecular

















